Located at 352–354 Lodge Causeway, BS16 3PL, Lodge Causeway Dental Centre has been a trusted part of the Bristol community since the 1940s. Our modern, accessible practice delivers high-quality dental care for patients across Bristol, all from the heart of Fishponds. Whether you’re visiting for a routine check-up or a full cosmetic transformation, our friendly, expert team is ready to help.
A Dental Practice Serving the Wider Bristol Area
- By car: We’re just off the A432 Fishponds Road. Free on-site parking is available, and we’re easily accessible from central Bristol and the ring road.
- By bus: Multiple First Bus routes stop close by, including the 6,16, 17,25 and 5 – connecting you to every corner of the city.
- By train: The nearest station is Stapleton Road (1.5 miles away), with onward connections via local buses or taxis.
- On foot or by bike: The clinic is within walking distance of Fishponds High Street, and bike stands are available outside.


Dental Services at Our Bristol Clinic
We offer both NHS and private dental care at our Bristol clinic. While NHS appointments are limited due to high demand, we provide quick access to private services with flexible scheduling and finance options.
Our private treatments include:
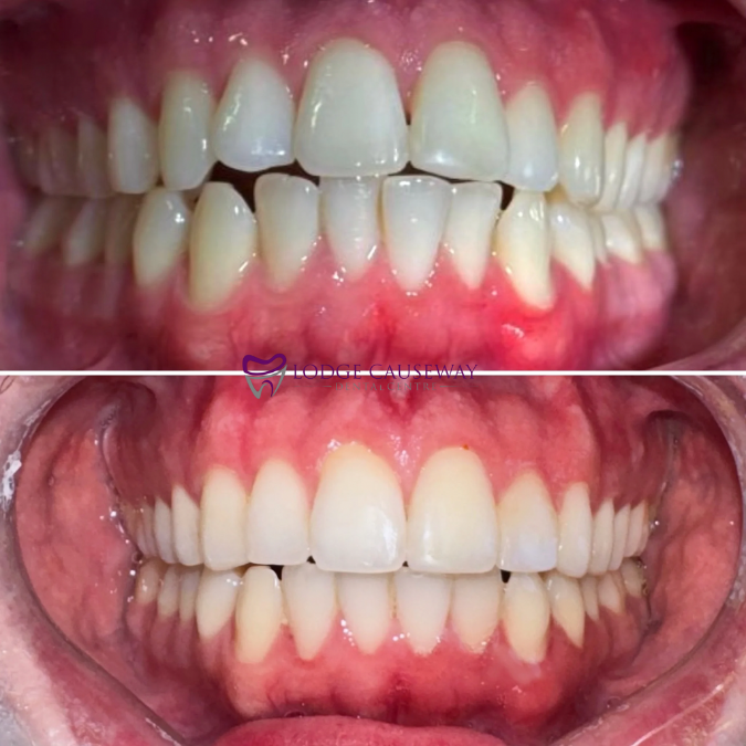
- Invisalign (includes free consultation, 3D scan, whitening, and retainers)
- Dental implants placed by experienced senior clinicians
- Composite bonding for quick smile improvements
- Teeth whitening (in-practice or take-home kits)
- Air Polish & Hygienist appointments
- Emergency dental care (subject to availability)
Each treatment is delivered by a caring team who know your preferences and take the time to make you feel at ease.
Accepting New Private & NHS Patients from Bristol
Lodge Causeway Dental Centre has served generations of local families, earning a reputation for excellent service and clinical care. We are proud to be a Southwest Deanery training practice, and our team includes:
- 5+ senior dentists, each with specific expertise in implants, Invisalign, or cosmetic dentistry
- 4 fully qualified hygienists who help patients prevent gum disease and maintain oral health. A dedicated foundation dentist gaining advanced experience under the guidance of our senior clinicians.
- A welcoming reception team that makes every visit easy, efficient, and comfortable

Accessible from Kingswood, Downend & Staple Hill
Whether you’re seeking preventive care, a cosmetic dental treatment, or just want to find a dentist you can trust in Bristol, we’re here to help.
Appointments are available Monday to Friday, with same-day options for private emergency cases.
Lodge Causeway Dental Centre welcomes patients from across Bristol, including Kingswood, Downend, and Staple Hill. Easy access for all Bristol residents.
Address:
Lodge Causeway Dental Centre, 352 – 354 Lodge Causeway Fishponds, Bristol BS16 3PL
Tel:
0117 9586 878
Email:
info@lodgecausewaydentalcentre.com
Opening Times:
Mon – Fri: 8am – 5pm
Parking:
Plenty of onsite parking in front of the practice
Nearest railway station:
Church Road, Barton Hill – 2.3 miles (3.7km)

